EN

When Digital Dentistry Solves the Zirconia Puzzle: Clinical Strategies for Reliable Restorations

View: 791 times    / Time: 2025-12-05

EN18期casebook-1

EN18期casebook-2


StyleItaliano Community
A clinical case by our Community members
Dr. Rim Bourgi and Dr. Mohammad Qaddomi
A full-mouth rehabilitation of this complexity represents a significant clinical challenge, demanding a digital workflow built upon a foundation of impeccable accuracy from the very first step. The entire treatment journey, from diagnosis to final restoration, hinges on the quality of the initial data acquisition.
In this detailed clinical case, Eighteeth Helios 500 intraoral scanner played a foundational role by delivering a precise, efficient digital impression, setting the stage for the subsequent design and fabrication of a reliable zirconia restoration. The following case illustrates how integrating advanced digital tools like Helios 500 enhances both clinical confidence and restorative success.


Introduction:
Zirconia has emerged as a material of choice in modern prosthodontics due to its exceptional mechanical strength, fracture toughness, and chemical stability, which allow it to endure the demanding conditions of the oral environment. Beyond its durability, zirconia offers optical advantages such as natural translucency and color compatibility, enabling superior esthetic outcomes, particularly in anterior restorations. Additionally, its smooth, low-energy surface reduces bacterial adhesion, contributing to a lower risk of peri-implant inflammation and mucosal complications.
Nevertheless, zirconia's biological inertness and limited surface reactivity remain major challenges. The absence of functional chemical groups hinders protein adsorption and cellular attachment, compromising softand hard-tissue integration. Moreover, the dense, non-porous microstructure that ensures mechanical integrity simultaneously restricts micromechanical interlocking with resin-based adhesives, reducing bond durability. These limitations have prompted the development of innovative surface treatments designed to modify topography, enhance surface energy, and introduce bioactive chemical characteristics, thereby improving adhesion and biological performance.
The evolution of digital workflows and computer-aided design and manufacturing (CAD/CAM) technologies has further advanced the precision and predictability of zirconia restorations. However, reliable bonding to zirconia remains a clinical concern, as conventional etching and silanization protocols are ineffective. Among emerging surface modification methods, Biomic Lisi Connect offers a promising approach through Glass‒Ceramic Spray Deposition (GCSD)—a technique that enhances both the mechanical and biological performance of zirconia. GCSD involves spraying a lithium disilicate‒based glass‒ceramic aerosol onto the zirconia surface, followed by heat treatment that forms a dense, adherent lithium disilicate coating. This process increases microroughness, improves wettability, and creates a reactive surface, thereby optimizing both micromechanical retention and chemical bonding potential.
By combining the strength and stability of zirconia with the esthetic and bioactive characteristics of lithium disilicate, this innovative surface modification addresses long-standing adhesion challenges. The integration of GCSD within a fully digital workflow represents a step forward in achieving reliable, esthetic, and biologically compatible zirconia restorations.
In the present clinical case, a full-mouth rehabilitation was performed using a completely digital approach. The treatment included extractions, implant placement guided by a digital surgical template, and immediate provisionalization in both the maxillary and mandibular arches. After the osseointegration and soft-tissue healing phases, tooth preparations were completed for zirconia crowns and veneers. Digital impressions and design were carried out using advanced CAD/CAM technology, ensuring optimal precision, occlusal harmony, and esthetic integration. All restorative components were fabricated and bonded following the latest evidence-based zirconia surface conditioning and adhesive protocols, exemplifying the synergy between digital dentistry and material science for long-term functional and esthetic success.

EN18期casebook-4

Clinical Case Figures and Analysis
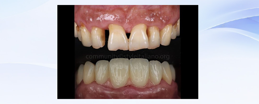
The patient presented to the clinic seeking an esthetic enhancement of her smile. Several previous practitioners had recommended postponing treatment until tooth extractions were completed, citing the complexity of the case. However, with the possibilities offered by digital dentistry, a comprehensive and multidisciplinary treatment plan was established involving the surgeon, prosthodontist, and digital smile designer. Clinical photographs and digital scans were used to guide the planning process. The initial frontal image revealed poor oral hygiene, multiple diastemas, and compromised teeth indicated for extraction due to advanced periodontal disease.

EN18期casebook-5


Initial buccal view of the upper teeth showing multiple carious lesions, diastemas, and some defective teeth deemed hopeless for extraction.
The photograph was taken using cheek retractors and a black contrastor Flexipalette (Smile Line SA, Saint-Imier, Switzerland).

EN18期casebook-6

Clinical evaluation with intraoral retracted view of both the upper and lower arches.

EN18期casebook-6_2

As a digital workflow was implemented in this case, initial intraoral scans of the upper and lower arches were considered essential for planning the surgical template and designing the future provisional restorations. The scans were performed using the Helios 500 scanner (Eighteeth Company, Changzhou, Jiangsu Province, China).

EN18期casebook-7

A surgical guide for implant placement was designed using CoDiagnostiX software (Straumann, Basel, Switzerland) and printed using the Sprintray Pro 2 printer (Los Angeles, CA, USA) with a layer thickness of 100 micrometers (µm). Studies have shown that variations in printing layer thickness can influence the properties of three-dimensional (3D)-printed dental models, with 100 µm layers demonstrating less deviation compared to finer 25 µm layers while maintaining clinically acceptable accuracy.
The guide ensured ideal angulation, stability, and reference points for implant insertion while accommodating the remaining teeth. Literature emphasizes that the requirements for surgical templates—such as rigidity, transparency, proper fit, and ability to guide implant angulation—are more critical than the fabrication method, allowing safe and accurate implant placement.

EN18期casebook-8

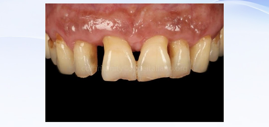
Frontal view of the upper anterior teeth immediately after extraction of the two central and two lateral incisors. The surgical site was prepared under local anesthesia following prophylactic protocols. The patient was instructed to begin oral disinfection using 0.12% chlorhexidine mouthwash twice daily starting the day before surgery and continuing for seven days postoperatively. The extractions were performed maintaining atraumatic technique to preserve the alveolar bone for subsequent implant placement.

EN18期casebook-9

The implant site was prepared flapless using a CAD-designed surgical template, which was created based on the intraoral scans and preoperative implant planning. On the day of surgery and implant placement, the guide is placed and verified for fit, which as you can see in this case the guide fits perfectly.

EN18期casebook-9_2

The temporaries were designed with lateral wings to be seated on the adjacent teeth and subsequently connected to the temporary abutment, ensuring optimal support and guidance for the provisional restoration. The design of the temporaries is clearly visible in this milled provisional photograph.

EN18期casebook-10

After the implants were placed, the CAD-designed temporary shell restoration was immediately provisionalized. The lateral wings, initially used to aid seating, were carefully trimmed to ensure proper fit, occlusion, and soft tissue adaptation around the provisional restoration. The same digital workflow was applied for the lower arch, involving extraction of the four anterior teeth and placement of two lateral implants. Following a fully digital workflow, the four anterior teeth of the lower arch were extracted, and two lateral implants were placed. Provisional restorations were then immediately seated, and the healing process was allowed to proceed for optimal soft tissue formation around the provisional restorations.

EN18期casebook-10_2

After three months of healing, the temporary restoration was removed, and an intraoral scan (by Helios 500) was performed to capture the emergence profile. Additionally, a scan body was screwed onto the implant for a second intraoral scan. The dental laboratory (DT Ghanem Arbid) designed the final restoration (Veneers, crowns, and bridges) using Exocad software (Exocad GmbH, Darmstadt, Germany).
Notet that the final zirconia bridge restoration was tightened onto the implant, and the screw access hole was sealed with Polytetrafluoroethylene (PTFE) tape and SDI flowable composite resin ((Wave MV, SDI, Australia). Oral hygiene instructions were provided after restoration placement. All laboratory procedures were performed by a single dental laboratory (GA), and the restorative procedures were executed by two dentists (RB and MQ).

The reliability of the Helios 500 was crucial not just for the initial planning but also for accurately capturing the delicate, healed soft tissue contours and the precise implant positions later in the treatment.

EN18期casebook-11

The zirconia restorations were milled and stained by the dental technician according to the initial smile design, which had been thoroughly reviewed and approved by both the patient and the clinician. To ensure accurate fit, the crowns and veneers were initially seated on a 3D-printed model prior to clinical delivery. Fabricated from Ezneer Zirconia (Aidite, Qinhuangdao, China), the restorations received internal surface treatment using Biomic LiSi Connect (Aidite, Qinhuangdao, China).
This innovative lithium disilicate‒based coating is designed for application on the intaglio surface of zirconia restorations after a single sintering cycle. During sintering, LiSi Connect crystallizes to form a tightly bonded lithium disilicate layer, creating a glass-ceramic‒like interface that markedly improves the adhesive potential of zirconia.
With a thickness of approximately 6‒10 µm, this ultra-thin coating preserves the precision fit and clinical adaptability of the restoration. Once sintered, the zirconia surface displays a crystalline morphology comparable to glass ceramics. Subsequent acid etching generates a rough, porous surface that enhances micromechanical retention.
Zirconia restorations treated with LiSi Connect demonstrate bonding performance similar to conventional glass ceramics, ensuring stable and durable adhesive interfaces. The material is universally compatible with all zirconia types, including those used for veneers, and promotes strong, long-lasting adhesion. By chemically integrating with the zirconia substrate, LiSi Connect provides a reliable and efficient solution for achieving optimal bond strength and improving the long-term clinical success of zirconia-based restorations.

EN18期casebook-12

Upper and lower 3D-printed models with the final restorations in place. All images were captured using the Smile Lite MDP2, demonstrating how mobile dental photography provides a convenient, high-quality method for documenting cases, evaluating restorations, and communicating treatment outcomes effectively.

EN18期casebook-13

The adhesive protocol was performed according to a standardized sequence to ensure durable adhesion to both the tooth substrate and the zirconia restoration.
Zirconia surface treatment:
The intaglio surface of the zirconia restoration was etched using Condac FGM 10% hydrofluoric acid (FGM, Joinville, SC, Brazil) for 45 seconds, then thoroughly rinsed and air-dried. A silane coupling agent was subsequently applied to promote chemical bonding between the treated zirconia surface and the resin matrix.
Tooth surface preparation:
The enamel and dentin surfaces were etched using Condac FGM 37% phosphoric acid (FGM, Joinville, SC, Brazil) for 15 seconds, rinsed with water, and gently air-dried to maintain moist dentin.
Adhesive application:
Ambar Universal (FGM, Joinville, SC, Brazil) was selected as the adhesive of choice. This system employs Advanced Polymerization System (APS) technology, which incorporates a synergistic combination of multiple photoinitiators that enhance the polymerization efficiency of methacrylic monomers, leading to a higher degree of conversion and improved mechanical performance. The APS formulation is virtually colorless before and after polymerization, preventing any esthetic interference. Additionally, due to its reduced sensitivity to ambient light, it provides a longer working time, allowing clinicians greater control during adhesive procedures.
Being 10-methacryloyloxydecyl dihydrogen phosphate (10-MDP)‒based, Ambar Universal requires active application for at least 20 seconds to optimize chemical interaction with both hydroxyapatite and metal-oxide substrates, as recommended by Hardan et al.
The adhesive was applied using ZerofloX™ (MIXPAC Dental, Medmix AG, Baar, Switzerland), a fiber-free micro-applicator with flexible elastomer bristles that allows precise, controlled delivery without contamination of the bonding surface. The adhesive layer was gently air-thinned and light-cured for 20 seconds per surface using a polywave LED curing unit (Eighteeth, Changzhou, China) at 1000 mW/cm². The use of polywave light-curing is advantageous for materials containing photoinitiators other than camphorquinone, ensuring complete polymerization across modern adhesive systems.
Cementation:
The restoration was seated using a dual cure resin cement of choice, ensuring complete polymerization even in areas with limited light access. Excess cement was carefully removed using LM-Arte™ Dark Diamond Composite Instruments (Eccesso, LM-Dental, Parainen, Finland), followed by final light curing from all aspects.

EN18期casebook-14

Final restorations of the upper anterior teeth included a zirconia bridge spanning implants from teeth 12 to 22, zirconia veneers on the canines, and zirconia crowns on teeth 14 and 24, achieving optimal esthetics, occlusion, and harmony with the patient's smile.

EN18期casebook-15

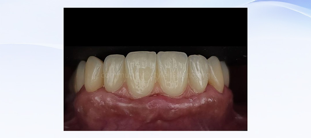
Final restorations of the lower anterior teeth included a zirconia bridge spanning implants from teeth 42 to 32, with a combination of zirconia veneers and crowns on the canines and premolars, achieving optimal harmony with the upper arch.

EN18期casebook-15_2

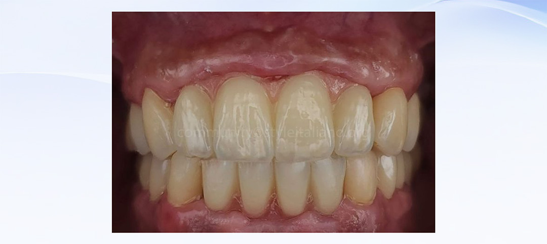
Post-treatment retracted view of the upper and lower arches, showing the restored occlusion, harmonious blending of soft tissues, and anatomical integration of the restorations. The photograph was taken four days after placement

EN18期casebook-16

The patient’s smile, viewed laterally — precision meets esthetics.

EN18期casebook-16_2

Comparison of the upper arch before and after treatment.

EN18期casebook-17

Fully retracted intraoral views before and after treatment, illustrating the comprehensive rehabilitation of the upper and lower arches, with im￾proved occlusion, enhanced esthetic smile design, and harmonious integration of the soft tissues.
After completion of the treatment, a 3D-printed retainer was delivered to the patient. 3D-printed direct retainers represent an exceptional service for patients while reducing stress on the dental team by providing a fast and efficient method for retainer fabrication. SprintRay Retainer material offers several advantages, including shape memory, optical clarity, low water absorption, and high toughness. Similar to Graphy resin, it is easy to post-process and requires no special treatment. Furthermore, SprintRay provides a free artificial intelligence (AI)-powered cloud design service that enables quick and precise retainer designs, eliminating the need for in-office design time and streamlining the overall workflow.

EN18期casebook-17_1

Conclusions

This case demonstrates the successful integration of a fully digital workflow for the rehabilitation of a patient with multiple failing an￾terior teeth. Through accurate intraoral scanning, careful planning, flapless implant placement, immediate provisionalization, and CAD/CAM restorations—including zirconia crowns, veneers, and implant-supported bridges—optimal esthetics, occlusion, and soft tissue harmony were achieved. The internal surfaces of zirconia restorations were treated with Biomic LiSi Connect to optimize bonding and ensure long-term retention, while precise staining techniques contributed to excellent esthetics. The use of 3D-printed surgical guides and provi￾sional restorations streamlined clinical procedures, minimized surgical trauma, and enhanced precision. Post-treatment, 3D-printed retainers provided an efficient, patient-friendly method for maintaining the achieved outcomes. Overall, this case underscores the reliability, efficiency, and patient-centered benefits of digital dentistry in delivering durable, high-quality prosthetic results.

Bibliography

·Lin SC, Lin WC, Lin YL, Yan M, Tang CM. In vitro evaluation of the shading effect of various zirconia surface stains on porcelain crowns. Coatings. 2022 May 26;12(6):734.
·https://www.styleitaliano.org/zirconia-mag￾ic-where-strength-meets-beauty-in-dentistry/
·Favero CS, English JD, Cozad BE, Wirthlin JO, Short MM, Kasper FK. 
Effect of print layer height and printer type on the accuracy of 3-dimensional printed orthodontic models. American Journal of Orthodontics and Dentofacial Orthopedics. 2017 Oct 1;152(4):557-65.
·Paul N, Swamy KR, Dhakshaini MR, Sowmya S, Ravi MB. Marginal and internal fit evaluation of conventional metal-ceramic versus zirconia CAD/CAM crowns. Journal of clinical and experimental dentistry. 2020 Jan 1;12(1):e31.
·Hardan L, Bourgi R, Cuevas-Suarez CE, Lukomska-Szymanska M, Monjaras-Avila AJ, Zarow M, Jakubowicz N, Jorquera G, Ashi T, Mancino D, Kharouf N. Novel trends in dental color match using different shade selection methods: a systematic review and meta-analysis. 
Materials. 2022 Jan 8;15(2):468.
·Hardan L, Bourgi R, Cuevas-Suárez CE, Devoto W, Zarow M, Monteiro P, Jakubowicz N, Zoghbi AE, Skaba D, Mancino D, Kharouf N. Effect of different application modalities on the bonding performance of ad￾hesive systems to dentin: a systematic review and meta-analysis. 
Cells. 2023 Jan 3;12(1):190.
·Bourgi R, Qaddomi M, Hardan L, Tohme H, Corbani K, Abou Isber S, Daher EA, Nassar N, Kharouf N, Haikel Y. Gingival Contouring and Smile Makeover through Digital Planning and 3D Guidance. J. Clin. 
Med. Res. 2025;6:6208.
·Hardan L, Bourgi R, Lukomska-Szymanska M, Hernández-Cabanillas JC, Zamarripa-Calderón JE, Jorquera G, Ghishan S, Cuevas-Suárez CE. Effect of scanning strategies on the accuracy of digital intraoral scanners: a meta-analysis of in vitro studies. The Journal of Advanced Prosthodontics. 2023 Dec 18;15(6):315.
·AL‐Amleh B, Lyons K, Swain M. Clinical trials in zirconia: a system￾atic review. Journal of oral rehabilitation. 2010 Aug;37(8):641-52.
·Saraiva LR, Macêdo RF, Martins AJ, Lima DM, Carvalho EM, Bauer J. Impact of Different Photoinitiers of Adhesive Systems on Mechanical Properties, Sorption, Solubility, and Microtensile Bond Strength to Dentin. Pesquisa Brasileira em Odontopediatria e Clínica Integrada. 2025 Apr 4;25:e240097.
·Fernández-Barrera MA, Bourgi R, Flores-Ledesma A, Isolan CP, Tosco V, Dimitriu B, Cuevas-Suárez CE, Lukomska-Szymanska M, Hardan L. Does the application of polywave light-curing units influence physi￾co-mechanical properties of resin-based materials? A meta-analysis of In vitro studies. International Arab Journal of Dentistry (IAJD). 2024 Nov 1;15(2):173-203.
·Jorquera G, Hardan L, Bourgi R, Arias D, Cuevas-Suárez CE, Pietrzyc￾ka K, Lukomska-Szymanska M. Full Digital Workflow for Aesthetic Rehabilitation of the Upper Teeth: A Case Report. Applied Sciences. 2021 Jul 8;14(13):5957.
·Bourgi R, Kharouf N, Cuevas-Suárez CE, Lukomska-Szymanska M, Haikel Y, Hardan L. A literature review of adhesive systems in dentistry: Key components and their clinical applications. Applied Sciences. 2024 Sep 10;14(18):8111.
·Hazko S, Hardan L, Kharouf N, Cuevas-Suárez CE, Corbani K, Tohme H, Flores-Ledesma A, Lukomska-Szymanska10 M, Nassar N, Bourgi R. The Impact of Layer Thickness on Key Parameters Affecting 3D-Print￾ed Dental Materials: A Systematic Review. J. Clin. Med. Res. 2025;6:1-21.
·Wang D, Dong W. [Retracted] Application Effect of New Material after Surface Modification of Zirconia Ceramics and Analysis of Patient Evaluation. Computational Intelligence and Neuroscience. 2022;2022(1):1589209.

About Eighteeth

Changzhou Sifary Medical Technology Co., Ltd, founded in 2016 in Changzhou, Jiangsu, is a professional manufacturer of dental equipment and consumables, as well as a leading enterprise in the domestic dental medical equipment industry, committed to building the first platform for the globalization of Chinese dental instruments, The company's products (Eighteeth products) cover 154 countries and regions worldwide, and it has established cooperation with more than 340 renowned universities and thousands of top experts globally, reaching over a million dentists worldwide.
The company currently has a professional and mature team of nearly 500 people and has introduced mature and efficient R&D management systems, with significant product quality advantages, aiming to provide superior products and services to dentists and patients worldwide.